孩子牙齿什么时候纠正合适,由于某种原因导致学龄前儿童的牙齿长的层次不齐,这个时候就需要来矫正牙齿了。很多家长认为一定要大孩子十几岁之后才能矫正,真的是这样吗?儿童牙齿矫正什么时候开始合适呢?

专家介绍说,在乳牙期和替牙期,一般的错牙合畸形如个别牙齿错位不需要矫治,须注意观察和纠正口腔不良习惯。但是,对于严重妨碍颌面部生长发育的错牙合畸形,如乳牙反牙合,俗称"地包天",会妨碍上颌骨发育,影响面部美观,应当及早治疗。如孩子配合,在3岁半左右即可矫治。
对于大多数的错牙合畸形要等到牙齿完全替换后,约12岁才进行矫治。这时上下颌咬合关系调整也基本完成,可以对错牙合畸形做出明确诊断,矫治效果易保持稳定。这个时期进行矫治,疗程短,效果好。
郑州唯美口腔医院推荐--韩式隐形正畸
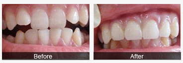
郑州唯美口腔率先引进的韩式隐形正畸技术继承了传统的牙颌畸形矫治的理念,是现代口腔医学、计算机辅助四维诊断、个性化设计及数字化成型技术的完美结合,是正畸领域的新突破。韩式隐形正畸由中韩齿科专家联合坐诊,实现全程无痛无创快速疗法,专门治疗各种牙齿排列不整齐,咬合错位等牙齿形态问题,还你一口整齐、坚固耐用的健康原牙。
该技术是完全个性化的设计理念,可根据正畸者的情况佩带不同的矫治器,完全不影响正畸者的生活。具有隐形高效,稳定美观的特点,并且大大地缩短了疗程,使治疗时间缩短近三分之一,复诊时间缩短二分之一,为正畸者大大节省了时间,透明隐形正畸矫正矫治器厚度不到1mm,透明、光滑、舒适,无异物感和粘膜刺激,是目前更受欢迎和信赖的美齿项目。
孩子牙齿什么时候纠正合适,如果您对以上的内容,还有任何不明白的地方,欢迎点击在线咨询,与专家进行一对一交流,同时网上咨询预约,还可享免挂号费,无需排队优先就诊服务。
上一篇:幼儿地包天如何矫正
下一篇:地包天手术矫正多少钱
唯美口腔连锁·汇聚实力专家
唯美口腔连锁·品牌资讯