郑州地包天矫正

地包天戴牙套能矫正吗

来源:郑州唯美口腔
赞: | 好评: | 阅读:
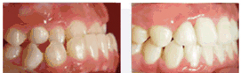
  地包天戴牙套能矫正吗,地包天应该大家都不陌生,是一种常见的牙齿畸形情况,对容貌有一定的影响,而且长期下去,可影响患者的心里。对于地包天患者而言,及早的进行牙齿矫正才是重中之重,现如今牙齿矫正的方法有很多,因此,不少人就会问到,地包天戴牙套能矫正吗?通过以下我们来进行详细的了解。
 
  地包天要怎么办?郑州唯美口腔专家介绍,并不是所有人都可以通过戴牙套矫正过来的,如果患者处于儿童期或青年期,可以通过戴牙套的方式进行牙齿矫正。儿童或青少年的颌骨还未发育完成,采用戴牙套矫正的话效果比较好,牙齿矫正的原理就是通过人体生物力学,运用各种支撑点使牙齿按照预定的方向进行移动,归位的过程。
地包天戴牙套能矫正吗
 
  到了成年,如果是牙性地包天的话,可以通过戴牙套进行矫正,矫正方法推荐无托槽隐形矫正技术。如果是骨性地包天就需要通过正畸+外科手术的方法进行改善。
 
  地包天牙齿矫正技术推荐:
 
  目前比较受人欢迎的是无托槽隐形矫治技术,它是根据医生的诊疗方案,以每个患者的牙颌为基础,通过计算机3D辅助、诊断、模拟设计和先进的制造系统,制作出的无托槽、透明、可摘矫治器,是畸形矫治中新兴的矫治技术。
 
  无托槽隐形矫治技术的特点:
 
  隐形美观:几乎完全隐形。别人很难看出,不影响美观,可以正常与人交际;
 
  舒适:去除了传统矫正方法的牙托、钢丝,所以不会出现结轧丝和弓丝对口腔粘膜可能的刺伤,而且佩戴也很舒适;
 
  方便:可以自行摘带,不影响正常社交、运动、进食,也不影响正常刷牙和使用牙线,容易保持口腔卫生;推荐阅读:矫正地包天会改变脸型吗
 
  可预测:能够从计算机上预测到矫正过程和矫正后的结果。
 
  地包天戴牙套能矫正吗?通过以上的介绍,想必大家也有了一定的了解。郑州更好的口腔医院郑州唯美口腔是矫治技术更专业、设备材料更先进的牙齿矫正科室之一,集数字化、信息化、临床治疗于一体,专业开展龅牙、地包天、牙齿不齐等各种错颌畸形牙齿正畸治疗业务,受到顾客广泛好评。如果对牙齿矫正还有什么不明白的地方,可在线咨询我们的口腔专家。
 
温馨提示:口腔健康问题,不要查看不专业的网站,不要问不专业的医生。

上一篇:矫正地包天会改变脸型吗

下一篇:下面牙齿包上面牙齿怎么办

唯美口腔连锁·汇聚实力专家
唯美口腔连锁·品牌资讯
  • 一城七院
  • 高端设备
  • 荣誉资质
  • 机构环境