在郑州矫正个地包天要多少钱,由于遗传因素、生长发育过程的不良习惯等因素,都可引起地包天的发生。地包天不仅对自身的容貌有一定的影响,而且对饮食和社交也会造成不利的影响,这让地包天患者非常苦恼。随着地包天矫正技术的发展和不断完善,对地包天的矫正有了非常好的效果。那么,在郑州矫正个地包天要多少钱?为此,通过以下我们来进行详细的了解。

郑州唯美口腔的专家介绍,关于郑州地包天矫正多少钱,不能一概而论,影响地包天价格的因素有很多,具体如下:
1、与患者个人情况有关:地包天患者的不同的症状、不同的体质、不同的手术方案、身体情况、身体反应、复原能力都决定了地包天矫正价格的不同,说到底更后还是地包天患者决定地包天矫正价格。
2、与地包天矫正医院、专家有关地包天矫正并不是一个简单的手术,地包天矫正是否安全的关键在于地包天矫正专家是否具有流行的时尚审美观和熟练的技术,在于地包天矫正医院是否拥有先进的设备。地包天矫正医院所拥有的医资,设备,技术,层次的不同,也影响了地包天矫正价格的高低。
3、与手术方案有关:
a、单纯因为牙齿的排列错乱造成的地包天,上下颌骨的发育及位置正常,此类地包天不需要做地包天矫正,只需请口腔科医生重新排列牙齿即可。价格相对便宜。
b、地包天由于上下颌骨发育异常造成的,则需要采用地包天矫正手术来治疗。也就是下颌前突畸形整形。具有手术时间短,疗效显著,恢复快等优点。
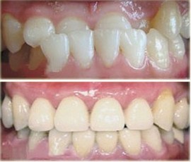
对于地包天的患者,矫正可采用美容矫正,该项技术集牙齿矫正、修复、美容于一体,它彻底突破了传统齿科技术的弊端,将德国VITA比色技术、无痛技术和口腔内窥镜数码定位有机结合起来,真正做到了美牙不拔牙、无痛苦、时间短、牙齿坚固、多年后牙齿不出现黑线等优点,从而达到终生有保障的牙齿美容效果。推荐阅读:郑州矫正牙齿哪家医院更好
在郑州矫正个地包天要多少钱?通过以上的介绍,想必大家也有所了解了。郑州唯美口腔医院的专家提醒:为了确保地包天的矫正效果,在矫正前一定要选择正规的口腔医院,这样才能确保矫正的效果。如果对地包天还有不明白的地方,可在线咨询我们的口腔专家。
上一篇:在郑州矫正地包天大概要多少钱
下一篇:郑州治疗地包天要多少钱
唯美口腔连锁·汇聚实力专家
唯美口腔连锁·品牌资讯