除遗传因素外,大多数地包天患者都是在童年期间,不良的习惯导致的异常发育引起的。童年是地包天形成的关键时期,家长在这一时期应谨慎对待,一旦发现问题及时到医院检查。那么儿童地包天预防措施有哪些呢?
儿童地包天预防措施:
1、在婴儿时期,母亲要把握正确的哺乳姿态。
2、不能让婴儿平卧自抱奶瓶吸奶。
3、尽早去专业口腔科做检查,一旦发现问题就需要尽早矫正;
4、帮助孩子纠正不良的口腔习惯;
5、关于有咬上颌或下颌前伸不良习惯的幼儿应及早干涉(可经过讲道理),及早改掉不良习惯。
6、有乳前牙该掉时不掉或因意外过早掉牙情况时,应及时就诊,拔除滞留乳牙,维持早失乳牙间隙等。推荐阅读:韩式隐形正畸
中韩·唯美口腔韩式隐形正畸技术推荐
唯美口腔率先引进的韩式隐形正畸技术继承了传统的牙颌畸形矫治的理念,是现代口腔医学、计算机辅助四维诊断、个性化设计及数字化成型技术的完美结合,是正畸领域的新突破。韩式隐形正畸由中韩齿科专家联合坐诊,实现全程无痛无创快速疗法,专门治疗各种牙齿排列不整齐,咬合错位等牙齿形态问题,还你一口整齐、坚固耐用的健康原牙。该技术是完全个性化的设计理念,可根据正畸者的情况佩带不同的矫治器,完全不影响正畸者的生活。具有隐形高效,稳定美观的特点,并且大大地缩短了疗程,使治疗时间缩短近三分之一,复诊时间缩短二分之一,为正畸者大大节省了时间,透明隐形正畸矫正矫治器厚度不到1mm,透明、光滑、舒适,无异物感和粘膜刺激,是目前更受欢迎和信赖的美齿项目。点击在线咨询,了解牙齿矫正的各项优惠活动,在线预约可享更多优惠!
中韩·唯美口腔牙齿矫正专家推荐

李玉如,口腔正畸科。副教授,副主任医师,硕士生导师,口腔医学正畸专业硕士。1991年毕业于中山医科大学口腔系,一直从事口腔正畸的临床、教学和科研工作,临床经验丰富,并注重知识的学习更新,2004年硕士学位毕业。擅长正畸科各类牙颌畸形及疑难病例的矫治,对青少年反牙合、开牙合、功能性矫治、阻生牙的导萌牵引及成年人牙颌畸形、牙周病的正畸治疗有良好的疗效。
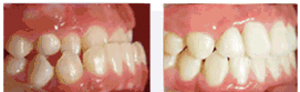
中韩·唯美口腔牙齿矫正前后对比图

温馨提示:如果您觉得我们的文章并没有解释得很清楚,或有其他问题,您可以点击我们的在线咨询专家。中韩·唯美口腔会给您一个专业的分析,详细的解答,并给您一个满意的答复!
上一篇:郑州地包天矫正多少钱
下一篇:地包天矫正期间的注意事项是什么
唯美口腔连锁·汇聚实力专家
唯美口腔连锁·品牌资讯