地包天也称兜齿,患者大多在童年时便会形成,其中家族遗传占很大一部分比重。患者的口腔正常功能以及容貌都会受到地包天的影响。长期下去,未来的工作、恋爱也会受到影响。那么,地包天是如何产生的呢?
地包天的产生:
1、遗传因素引起,如果父母中有人是反颌,宝宝就有遗传的可能,这种可能性占1/3;
2、喂养方式不当,婴幼儿乳牙反颌的家庭因素是家长喂奶姿势不正确,家长在喂奶时,奶瓶如拿得太高,幼儿就必须把下颌外伸才能喝到奶,久而久之,下颌就会较上颌更突出,形成反颌;
3、养育方式不当,如让宝宝养成经常吮手指、咬嘴唇、咬物、吐舌、下颌前伸等不良习惯以及奶嘴使用时间过长。
口腔专家表示: 正畸矫治的总目标是平衡、稳定、美观,这三者必须是有机的结合,缺一不可。 如果畸形发生后不及时治疗,随着人年龄的增长,会越来越严重,致使下颌前凸、面中部凹陷,极大地影响到颌部咬合的平衡性、稳定性以及面部的美观。推荐阅读:韩式隐形正畸
中韩·唯美口腔韩式隐形正畸技术推荐
唯美口腔率先引进的韩式隐形正畸技术继承了传统的牙颌畸形矫治的理念,是现代口腔医学、计算机辅助四维诊断、个性化设计及数字化成型技术的完美结合,是正畸领域的新突破。韩式隐形正畸由中韩齿科专家联合坐诊,实现全程无痛无创快速疗法,专门治疗各种牙齿排列不整齐,咬合错位等牙齿形态问题,还你一口整齐、坚固耐用的健康原牙。该技术是完全个性化的设计理念,可根据正畸者的情况佩带不同的矫治器,完全不影响正畸者的生活。具有隐形高效,稳定美观的特点,并且大大地缩短了疗程,使治疗时间缩短近三分之一,复诊时间缩短二分之一,为正畸者大大节省了时间,透明隐形正畸矫正矫治器厚度不到1mm,透明、光滑、舒适,无异物感和粘膜刺激,是目前更受欢迎和信赖的美齿项目。点击在线咨询,了解牙齿矫正的各项优惠活动,在线预约可享更多优惠!
中韩·唯美口腔牙齿矫正专家推荐

李玉如,口腔正畸科。副教授,副主任医师,硕士生导师,口腔医学正畸专业硕士。1991年毕业于中山医科大学口腔系,一直从事口腔正畸的临床、教学和科研工作,临床经验丰富,并注重知识的学习更新,2004年硕士学位毕业。擅长正畸科各类牙颌畸形及疑难病例的矫治,对青少年反牙合、开牙合、功能性矫治、阻生牙的导萌牵引及成年人牙颌畸形、牙周病的正畸治疗有良好的疗效。
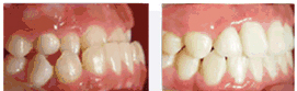
中韩·唯美口腔牙齿矫正前后对比图

温馨提示:如果您觉得我们的文章并没有解释得很清楚,或有其他问题,您可以点击我们的在线咨询专家。中韩·唯美口腔会给您一个专业的分析,详细的解答,并给您一个满意的答复!
上一篇:牙齿地包天矫正多少钱
下一篇:郑州地包天矫正多少钱
唯美口腔连锁·汇聚实力专家
唯美口腔连锁·品牌资讯