地包天是一种常见的口腔症状,多在儿童时期发生,矫正更佳时间是在儿童时期,成人地包天危害很大,而且还错过了更佳矫正期,那么成人患地包天的危害有哪些?下面请我院的口腔专家为大家详细的介绍一下
成人地包天对人体的危害有以下几点:
一、地包天加重胃肠负担,长此下去,将会形成消化系统慢性疾病,影响全身的健康。甚至会正常功能活动,造成牙齿的不正常磨耗。
二、地包天影响咀嚼功能及口腔健康。全口多数牙反合,患者的上下前牙不能对咬,不能行使切咬功能,下颌位置异常,咀嚼功能降低,后牙的咬合功能不能高度发挥。
三、对因下颌前突导致的反颌畸形,手术主要针对下颌骨,达到矫正反颌畸形的目的。通过将下颌骨截骨后退,不仅a能够缩短下颌的长度,还可以上颌骨向上旋转,让下颌角的角度变小,侧面看也变得更加美观。了解更多地包天危害,点击在线咨询,直接与专家相互交流,详细咨询!
四、对因上颌后缩导致的反颌畸形,则需要行上颌骨截骨前移术,即通过特殊的截骨方式,将上颌骨整体前移而达到矫正反颌畸形的目的。同时,上颌骨前移后,面中份凹陷也得到明显改善。
中韩·唯美口腔牙齿矫正技术推荐
中韩·唯美口腔率先引进的韩式四维隐形正畸技术继承了传统的牙颌畸形矫治的理念,是现代口腔医学、计算机辅助四维诊断、个性化设计及数字化成型技术的完美结合,是正畸领域的新突破。韩式四维隐形正畸由知名专家坐诊,实现全程无痛无创快速疗法,专门治疗各种牙齿排列不整齐,咬合错位等牙齿形态问题,还你一口整齐、坚固耐用的健康原牙。推荐阅读:韩式隐形正畸
中韩·唯美口腔牙齿矫正专家推荐:

李玉如,口腔正畸科。副教授,副主任医师,硕士生导师,口腔医学正畸专业硕士。1991年毕业于中山医科大学口腔系,一直从事口腔正畸的临床、教学和科研工作,临床经验丰富,并注重知识的学习更新,2004年硕士学位毕业。擅长正畸科各类牙颌畸形及疑难病例的矫治,对青少年反牙合、开牙合、功能性矫治、阻生牙的导萌牵引及成年人牙颌畸形、牙周病的正畸治疗有良好的疗效。点击在线咨询,了解牙齿矫正的优惠信息!在线预约可享更多优惠!
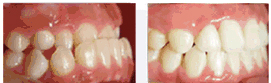
中韩·唯美口腔牙齿矫正前后对比图

温馨提示:患有地包天,一定要及时的到专业的口腔医院进行治疗,以免对自己的身体健康造成影响。我们中韩·唯美口腔医院,是一家专业的口腔医疗机构,医院的医疗设备先进,医疗团队优秀,医生的临床经验高,医院的服务质量好,是地包天患者的更佳选择。
上一篇:儿童地包天的形成原因有哪些
下一篇:地包天对孩子的影响有哪些
唯美口腔连锁·汇聚实力专家
唯美口腔连锁·品牌资讯