地包天常见的症状有哪些?儿童时期对牙齿口腔的不重视,很容易导致形成地包天畸形,对孩子的面部发育和口腔功能造成威胁,地包天有很多类型,不同类型需要分别诊治,进行矫正,那么地包天常见的症状有哪些?
地包天常见的症状有以下几点:
一、功能型:多由不良哺乳姿势等而引起的下颌功能性过度前伸和前牙反合,下颌大小和形态正常,下颌能后退至前牙切对切关系,又称假性下颌前突。
二、牙源型:多由局部障碍引起,表现为单纯性前牙反合,反覆盖较小,磨牙关系为中性或开始近中合。下颌大小形态正常,上下颌骨关系也很正常,下颌能后退至切对切关系,颜面基本正常。了解更多地包天,点击在线咨询,与专家一对一相互交流,详细咨询!
三、骨源型:多由遗传和疾病等因素所致。除前牙反合外,反覆盖大,磨牙为近中合,并且有下颌体长,下颌支短和下颌角钝,上颌发育不足,额部有明显前突,下颌也不能自行后退,面部呈凹面型,有时还伴有开合畸形。
中韩·唯美口腔牙齿矫正技术推荐
中韩·唯美口腔率先引进的韩式四维隐形正畸技术继承了传统的牙颌畸形矫治的理念,是现代口腔医学、计算机辅助四维诊断、个性化设计及数字化成型技术的完美结合,是正畸领域的新突破。韩式四维隐形正畸由知名专家坐诊,实现全程无痛无创快速疗法,专门治疗各种牙齿排列不整齐,咬合错位等牙齿形态问题,还你一口整齐、坚固耐用的健康原牙。推荐阅读:韩式隐形正畸
中韩·唯美口腔牙齿矫正专家推荐

李玉如,口腔正畸科。副教授,副主任医师,硕士生导师,口腔医学正畸专业硕士。1991年毕业于中山医科大学口腔系,一直从事口腔正畸的临床、教学和科研工作,临床经验丰富,并注重知识的学习更新,2004年硕士学位毕业。擅长正畸科各类牙颌畸形及疑难病例的矫治,对青少年反牙合、开牙合、功能性矫治、阻生牙的导萌牵引及成年人牙颌畸形、牙周病的正畸治疗有良好的疗效。点击在线咨询,了解牙齿矫正的优惠信息!在线预约可享更多优惠!
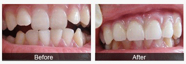
中韩·唯美口腔牙齿矫正前后对比图

温馨提示:专家提示,对于地包天畸形的治疗一定要选择正规医院,以免由于治疗不规范以及服务不周等原因,造成不必要的损害。若有更多关于地包天畸形疾病的疑问,请点击在线咨询。中韩·唯美口腔会给您一个专业的分析,详细的解答,并给您一个满意的答复!
上一篇:地包天畸形形成的后天原因是什么
下一篇:地包天的症状有哪些
唯美口腔连锁·汇聚实力专家
唯美口腔连锁·品牌资讯