地包天是怎样形成的?长期的不良习惯造成很多成人的牙齿出现畸形的现象,大多数都是由于儿童时期没有得到及时矫正造成的,地包天是儿童较为常见的一种牙颌畸形,对于孩子的成长很不利,那么地包天是怎样形成的?
地包天的形成主要与以下因素有关:
1、“地包天”的形成与遗传有很大关系,如果父母中有一方为反颌,就极有可能遗传给子女。
2、大多数的“地包天”,是由于不良习惯引起的。例如:咬上唇的习惯,日子一长,上门牙则被压向里边,而下门牙则移到外面来了,从而形成“地包天”。
3、人工哺乳的姿势不正确(如婴儿的仰卧喂奶),也可迫使婴儿为方便吸吮,从而前伸下颌,更后导致“地包天”。了解更多地包天,点击在线咨询,直接向专家详细咨询!
总而言之,一切引起前伸下颌的不良习惯,均会导致反颌。反颌形成后,下颌牙弓则会妨碍上颌牙弓的向前发育,从而导致上颌骨的发育不足,形成面部中 1/3 凹陷的月牙脸。因此,小儿“地包天”应及早治疗。
中韩·唯美口腔牙齿矫正技术推荐
韩式四维隐形正畸技术是完全个性化的设计理念,可根据正畸者的情况佩带不同的矫治器,完全不影响正畸者的生活。具有隐形高效,稳定美观的特点,并且大大地缩短了疗程,使治疗时间缩短近三分之一,复诊时间缩短二分之一,为正畸者大大节省了时间,透明韩式四维隐形正畸矫正矫治器厚度不到1mm,透明、光滑、舒适,无异物感和粘膜刺激,是目前更受欢迎和信赖的美齿项目。推荐阅读:韩式隐形正畸
中韩·唯美口腔牙齿矫正专家推荐

李玉如,口腔正畸科。副教授,副主任医师,硕士生导师,口腔医学正畸专业硕士。1991年毕业于中山医科大学口腔系,一直从事口腔正畸的临床、教学和科研工作,临床经验丰富,并注重知识的学习更新,2004年硕士学位毕业。擅长正畸科各类牙颌畸形及疑难病例的矫治,对青少年反牙合、开牙合、功能性矫治、阻生牙的导萌牵引及成年人牙颌畸形、牙周病的正畸治疗有良好的疗效。点击在线咨询,了解牙齿矫正的优惠信息!在线预约可享更多优惠!
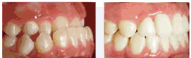
中韩·唯美口腔牙齿矫正前后对比图

温馨提示:以上内容是关于地包天的形成原因的介绍,儿童患上地包天,一定要及时治疗,以免对以后的成长造成影响,更多疑问,可以随时点击在线咨询,由中韩·唯美口腔专家为您做详细的解答!
上一篇:做牙齿矫正需要注意什么
下一篇:地包天畸形形成的后天原因是什么
唯美口腔连锁·汇聚实力专家
唯美口腔连锁·品牌资讯