成人地包天矫正多少钱?成人地包天对成人的影响很大,无论是在平常的生活中还是在忙碌的工作中,地包天都会给成人造成困扰,矫正方法的出现让成人地包天能够拥有一口整齐的牙齿,同时,成人地包天矫正的价格也是不少人想要知道的,那么成人地包天矫正多少钱?
地包天严重影响患者的牙颌功能
什么是地包天?中韩·唯美口腔的专家介绍,所谓“地包天”,是指上、下牙齿闭合时,下牙突出于上牙前面而造成的口腔颌面畸形。在医学上也把地包天称为兜齿或前牙反牙合。反颌时由于前牙不能相对,由此就降低了对食物的切割功能;而下颌由于过度前伸,就迫使后牙的咬合关系发生改变,失去正常咬合能力,因而使咀嚼能力降低。
成人地包天矫正的费用不是一个具体的数字,主要和患者的地包天情况、医院以及医师的选择有关
地包天是一种常见的牙齿畸形问题,不仅影响牙齿的美观,时间久了还会影响患者的心理健康。因此地包天一定要及时矫正,那么 成人地包天做牙齿矫正的费用是多少?中韩·唯美口腔的专家介绍,成人地包天矫正费用往往不是一个笼统的数据,主要和患者的地包天情况、医院以及医师的选择有关。对于迫切想知道成人地包天矫正费用建议到正规的医疗机构接受检查后,制定矫正方案来确定费用的多少。
,成人地包天矫正的费用和患者地包天的程度有关。这是因为每个人的地包天程度是不一样的,而地包天的矫正方案则是根据地包天的情况来确定的。一般地包天越严重,其矫正方案越复杂,当然矫正费用就贵些。若地包天情况不严重,那么矫正方案简单,当然价格相对便宜些。所以成人地包天矫正费用受地包天情况影响。
第二,成人地包天矫正的费用和患者选择医院有关,不同的医院其牙齿矫正的费用是不同的。在郑州可以进行地包天矫正的医院很多,而牙齿矫正医院不同,其规模、设备等各方面也不同。一般规模大、设备先进的齿科,矫正地包天的效果及安全更有保障,当然所需矫正费用则多些。而一般小诊所矫正牙齿没什么保障,各位有需求者为了自身健康着想,更好选择正规专业齿科矫正地包天。
第三,患者选择地包天矫正的医师也会影响到成人地包天矫正的费用。成人地包天矫正医师不同,那么他们的牙齿矫正水平机矫正经验也是不同的,当然所需矫正费用也不同。而牙齿矫正技术水平高的知名专家矫正地包天,其效果更好,当然矫正费用更高。为了保障牙齿正畸效果,建议地包天选择知名的正畸专家矫正地包天。推荐阅读:四大更新牙齿正畸技术
韩式四维隐形牙齿矫正——轻轻松松矫正地包天
中韩·唯美口腔更新引进先进的韩式四维隐形牙齿矫正技术,针对成人牙齿矫正具有十分显着的治疗效果。在唯美口腔专家的操作指导下,爱美者轻轻松松就能完成牙齿矫正的全过程。韩式四维隐形牙齿矫正方法不仅外形美观,戴上后无不适应感,个性化的牙齿矫正方案,革除了传统牙齿矫正方法过程中可能引发口腔疾病的弊端,有效减少了牙齿矫正的时间和过程的痛苦。
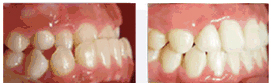
韩式四维矫正地包天案例

中韩·唯美口腔牙齿矫正专家推荐

李玉如,口腔正畸科。副教授,副主任医师,硕士生导师,口腔医学正畸专业硕士。1991年毕业于中山医科大学口腔系,一直从事口腔正畸的临床、教学和科研工作,临床经验丰富,并注重知识的学习更新,2004年硕士学位毕业。
擅长正畸科各类牙颌畸形及疑难病例的矫治,对青少年反牙合、开牙合、功能性矫治、阻生牙的导萌牵引及成年人牙颌畸形、牙周病的正畸治疗有良好的疗效。
中韩·唯美口腔拥有精湛的技术团队,完备的就医环境,高度负责的工作态度,为每一位患者者量身打造康复方案.更多内容请点击在线咨询。
上一篇:成人地包天矫正
下一篇:地包天矫正费用是多少
唯美口腔连锁·汇聚实力专家
唯美口腔连锁·品牌资讯