牙齿畸形矫正都有哪些方法
来源:郑州唯美口腔
赞: |
好评: |
阅读:
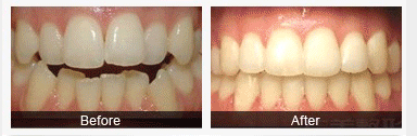
牙齿畸形矫正都有哪些方法,牙齿畸形给人们的生活以及工作带来了很多不便,尤其是龅牙、虎牙、地包天等问题特别显著,于是越来越多的人们开始通过牙齿矫正来恢复一口整齐亮白的牙齿,牙齿畸形矫正都有哪些好的方法?让我们跟随郑州唯美口腔专家一起来了解一下牙齿矫正的方法和好处:

牙齿矫正价钱,1、遗传因素:来源于种族演化和双亲遗传两方面。在人类进化中,随着食物由生变熟和细软,咀嚼?功能渐弱,致使口颌器官渐退化。其中,颌骨退化快于牙齿,导致牙量大于骨量,出现牙齿拥挤。双亲的牙齿畸形可遗传给子女。
2、后天因素:在胎儿期,母亲患病、接受放射线过量和外伤等,可导致胎儿先天性牙颌面畸形,如唇腭裂合并牙齿畸形;人工哺乳时的奶瓶位置及喂养姿势不正确,儿童食物过细软,诸如吐舌、吮指、咬下唇、偏侧咀嚼等不良习惯,替牙期间的乳牙早失、滞留、邻面龋坏、多生牙和先天缺失牙等,均可引起。
牙齿畸形矫正哪种方法更好?
钢铁矫是我们常见的牙齿矫正方法,该技术是通过佩戴明显的矫正器达到矫正的效果。用粘结剂将矫正装置粘固于牙齿上,患者不能自行摘戴,只能由正畸医师装拆、调整加力。需要每个月都在医院进行检查,通过医师的调整来更后完成矫正效果。该技术矫正时间长,因此不会满足成年人的需要了,适合未成年人使用。
【更新矫正治疗】 无托槽隐形牙齿矫正 世界正畸联盟推荐技术
无托槽隐形正畸技术继承了传统牙颌畸形矫治理念,采用由安全、弹性、高透明分子材料制作而成的一系列隐形矫治器,替代传统牙齿正畸中所使用的钢丝和托槽,使整个矫治过程完全隐形,在旁人毫无觉察的情况下,悄悄让歪牙立正,特别适合对美观度要求较高的牙齿不齐患者。同时由于没有了粘结托槽、调整弓丝的繁琐,临床操作大大简化,整个矫治过程省时又省力。
推荐阅读>>>>
无托槽隐形正畸六大优势:
1、精确定位:运用三维影像导航及定位装置精确定位,让牙齿按照更短的距离精确移动,以更短的时间直接到达正确位置,让牙齿少走“弯路”,一步到位,并且有利减少压根吸收。
2、个性设计:该隐形矫正不仅考虑全牙空间的整齐维度,还根据面部黄金比例和牙齿黄金比例将牙列、口腔、脸型完美搭配,针对求美者牙齿、脸型等个人特点进行个性化专属设计,达到完美协调、自然天成的效果。
3、效果可控:根据矫治过程的计算机三维全方位模拟牙齿移动效果,对矫治方案进行修正或确认,准确预想各个时间段牙齿排列的情况,并指导求美者自行戴用矫治器,过程安全可控,复诊时间大大缩短,复诊间隔显著延长。
4、高端材料:矫治器采用认证的弹性透明高分子材料精制而成,完全透明、光滑,牙症者戴用时美观、舒适,减免了目前传统矫治过程中矫治器对口腔引起的并发症。
5、美观大方:矫治器透明、光滑,厚度不到1mm,几乎完全隐形,戴用时与牙齿色泽一致,不易被察觉,效果更佳,解决了很多患者尤其是成人对矫正牙齿时的美观顾虑。
6、舒适方便:矫治器可以自行摘戴,在家自己完成即可,戴用时不会有明显的异物感和黏膜刺激。口腔卫生易于维护,不影响进食、刷牙、社交活动等日常生活。
郑州牙齿矫正多少钱,温馨提醒:郑州唯美医院口腔专科是专科医院,医保定点单位,拥有国内一流的口腔专家队伍,并引进美国、德国等的高端口腔医疗设备和技术,是国内众多前沿美齿技术的标杆医院。如果您还有其他疑问,您可直接点击在线咨询,或是拨打我们24小时免费咨询热线:,我们口腔专家会耐心为您解答!
温馨提示:口腔健康问题,不要查看不专业的网站,不要问不专业的医生。