郑州成人矫正

成年人牙齿拥挤怎么矫正

来源:郑州唯美口腔
赞: | 好评: | 阅读:
  成年人牙齿拥挤怎么矫正,在日常的工作和生活中,对外貌的要求越来越高,大家都非常重视自己的形象,而牙齿对形象的影响也非常大。拥有一口好牙就是他们的一张好名片,是大家交际的桥梁,也是开启成功之路的一把钥匙。牙齿拥挤是牙齿畸形的一种,那么,成年人牙齿拥挤怎么矫正?为此,通过以下我们来进行详细的了解。
成年人牙齿拥挤怎么矫正
 
  案例回顾:
 
  马上毕业了,小张早早的准备好了求职简历,经过几百份简历投放后,终于有了外企给他机会让我去面试,一切顺利,但是,更后却因为小小的牙齿而被拒之门外,这让小张备受打击。
 
  小张在校期间他学习成绩很优秀,个人爱好也非常广泛,能力、学业都不错。同学们都认为,小张毕业后找工作不成问题。可是毕业快三个月了,小张几次找工作都在面试这一关被刷了下来,原因是他的牙齿很不好看,牙齿拥挤不齐,给面试官留下的形象感觉很不佳,所以求职排名的“形象分”总是上不去。
 
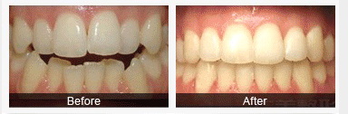
  郑州成人牙齿矫正哪家好?后来小张决定矫正牙齿,在网上搜了很多资料,发现郑州唯美口腔不错,当天下午他就来到了郑州唯美口腔根据他的情况专家推荐无拖槽隐形牙齿矫正,更终小张顺利的找到了心仪的工作。
 
  传统牙颌畸形矫正器是在牙齿上粘结称为托槽的小铁片,将矫正弓丝结扎上去,使牙齿发生移动,达到矫正的目的。但由于牙齿上面有很多矫正装置,给人“铁嘴钢牙”的感觉。同时,如果口腔卫生维护不好,可能造成牙龈炎症、牙齿脱矿变色等口腔损害,从而使不少患者,特别是成人患者望“矫正”而生畏。于是,无托槽隐形矫正技术及矫正器应运而生。推荐阅读:郑州成人牙齿矫正哪家医院好
 
  成年人牙齿拥挤怎么矫正?通过以上的介绍,想必大家也有了一定的了解。郑州唯美口腔采用的隐形牙齿矫正运用计算机建模设计,量身定制一系列近乎无法察觉的透明牙托来完成整个矫正疗程。不管是由于牙齿拥挤、有间隙,或者是传统治疗后又移位的牙齿,都绝对可以重新获得灿烂笑容。如果还有什么不明白的地方,可在线咨询我们的口腔专家。
 
温馨提示:口腔健康问题,不要查看不专业的网站,不要问不专业的医生。

上一篇:郑州哪家口腔医院成人牙齿矫正的效果好

下一篇:成人牙齿矫正器有用吗

唯美口腔连锁·汇聚实力专家
唯美口腔连锁·品牌资讯
  • 一城七院
  • 高端设备
  • 荣誉资质
  • 机构环境