成人矫正有哪些难点?很多时候我们没有对牙齿多加关注,导致牙齿出现很多畸形现象,让我们的生活和工作受到了影响,因此很多成人希望通过牙齿矫正来改善这种现象,可是成人并不是那么容易,那么成人矫正有哪些难点?
成年矫正的特点主要在于时间较长、处理更多、隐患也更多,因此成人牙齿矫正主要有以下几项难点:
1、做牙齿矫正之前需要考虑成年患者口内是否常伴有牙周疾患、不良修复体、缺牙、残冠、残根,牙合磨耗及颞下颌关节紊乱症状出现,因此正畸医师应与口腔科的其他专科医师共同确定牙齿矫正治疗计划,采用综合疗法。
2、成年人的心理状态与儿童不同,因此在做牙齿畸形矫正之前考虑成年人是否在意牙齿矫正期间矫治器对容貌的影响,是否采用比较隐蔽的矫正器具,如陶瓷托槽、舌侧矫治器等。
3、做牙齿畸形矫正需要考虑成年人生长发育已基本停止,骨代谢及牙槽骨改建比较缓慢,牙齿移动速度相对缓慢,所在治疗时要告诫患者需要的牙齿矫正时间相对较长,并且由于肌功能及咬合调整的过程较长,保持的时间应延长。了解更多成人矫正,点击在线咨询,直接与专家一对一相互交流!
4、成年人生长发育已停止,骨代谢及牙槽骨改建比较缓慢,牙齿移动速度相对缓慢,所需的牙齿矫正时间较儿童长,对颌骨进行矫形治疗收效甚微。
中韩·唯美口腔牙齿矫正技术推荐
韩式四维隐形正畸技术是完全个性化的设计理念,可根据正畸者的情况佩带不同的矫治器,完全不影响正畸者的生活。具有隐形高效,稳定美观的特点,并且大大地缩短了疗程,使治疗时间缩短近三分之一,复诊时间缩短二分之一,为正畸者大大节省了时间,透明韩式四维隐形正畸矫正矫治器厚度不到1mm,透明、光滑、舒适,无异物感和粘膜刺激,是目前更受欢迎和信赖的美齿项目。推荐阅读:韩式隐形正畸
中韩·唯美口腔牙齿矫正专家推荐

李玉如,口腔正畸科。副教授,副主任医师,硕士生导师,口腔医学正畸专业硕士。1991年毕业于中山医科大学口腔系,一直从事口腔正畸的临床、教学和科研工作,临床经验丰富,并注重知识的学习更新,2004年硕士学位毕业。擅长正畸科各类牙颌畸形及疑难病例的矫治,对青少年反牙合、开牙合、功能性矫治、阻生牙的导萌牵引及成年人牙颌畸形、牙周病的正畸治疗有良好的疗效。点击在线咨询,了解牙齿矫正的优惠信息!在线预约可享更多优惠!
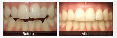
中韩·唯美口腔牙齿矫正前后对比图

温馨提示:以上就是关于成人矫正难点的介绍,希望会对您有所帮助。更多疑问敬请咨询中韩·唯美口腔医院的在线专家,向在线专家进行咨询,他们将给您知名的答复,亦或直接预约来院让专家现场诊断。
上一篇:哪些牙齿畸形成年人需要矫正
下一篇:成年人矫正牙齿的价格多少
唯美口腔连锁·汇聚实力专家
唯美口腔连锁·品牌资讯