成人矫正的适应范围有哪些?随着医疗技术的不断进步,牙齿矫正也不再不是个困扰成人的一个难题,很多为改善个人形象而苦恼的成年人松了口气,可是并不是每个成年人都适合做矫正的,那么成人矫正的适应范围有哪些?
因成年人生长发育已经完成,骨质生长缓慢,牙齿矫正效果差且疗程长,必须根据牙颌畸形的情况以及功能及对美观影响的程度,采取简单而更佳的矫治方案。
成人矫正问题已经得到解决,下面是成人矫正的适应范围:
1、影响咀嚼、美观、发音的牙颌畸形;
2、牙颌畸形引起其他病变者,如深覆牙合造成的牙周病以及咬合关系错乱引起的颞颌关节病;
3、因牙周疾病引起牙齿漂移而产生间隙时,使漂移牙复位;
4、配合修复的正畸治疗以提高修复效果。如多个小间隙可集中间隙镶牙,将倾斜牙直立,有利于修复等。了解更多成人矫正,点击在线咨询,直接与专家相互交流,详细咨询!
5、配合外科的正畸治疗。外科正畸病人常需在手术前或手术后配合正畸治疗。
中韩·唯美口腔牙齿矫正技术推荐
中韩·唯美口腔率先引进的韩式四维隐形正畸技术继承了传统的牙颌畸形矫治的理念,是现代口腔医学、计算机辅助四维诊断、个性化设计及数字化成型技术的完美结合,是正畸领域的新突破。韩式四维隐形正畸由知名专家坐诊,实现全程无痛无创快速疗法,专门治疗各种牙齿排列不整齐,咬合错位等牙齿形态问题,还你一口整齐、坚固耐用的健康原牙。推荐阅读:韩式隐形正畸
中韩·唯美口腔牙齿矫正专家推荐

李玉如,口腔正畸科。副教授,副主任医师,硕士生导师,口腔医学正畸专业硕士。1991年毕业于中山医科大学口腔系,一直从事口腔正畸的临床、教学和科研工作,临床经验丰富,并注重知识的学习更新,2004年硕士学位毕业。擅长正畸科各类牙颌畸形及疑难病例的矫治,对青少年反牙合、开牙合、功能性矫治、阻生牙的导萌牵引及成年人牙颌畸形、牙周病的正畸治疗有良好的疗效。点击在线咨询,了解牙齿矫正的优惠信息!在线预约可享更多优惠!
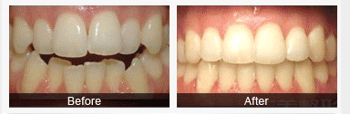
中韩·唯美口腔牙齿矫正前后对比图

温馨提示:以上讲述的是成人矫正的适应范围,希望对大家对矫正的认识更深入,更多相关信息,可以直接点击我们中韩·唯美口腔的“在线咨询”进行询问,在线专家将给出更专业、更知名的解答。
上一篇:成人牙齿矫正要注意什么
下一篇:哪些牙齿畸形成年人需要矫正
唯美口腔连锁·汇聚实力专家
唯美口腔连锁·品牌资讯