牙齿矫正费用多少钱?牙齿的畸形不受我们的控制,缺失由于我们自身的不良生活习惯或是天生的因素所引起的。现代人对美的追求,是畸形牙齿所无法阻挡的,因此牙齿矫正技术也就越来越全面。那么牙齿矫正费用要多少钱呢?
牙齿矫正费用多少钱
中韩·唯美口腔专家说,因为每个人牙齿畸形情况不同,矫正牙齿的治疗难易程度不同,所以对于做牙齿矫正要多少钱也有很大的差别。牙齿矫正包括检查、拍X光片,设计、分牙、粘托槽,有的可能需要拔牙。成人牙齿矫正一般需要大概一年半到两年左右的时间,牙齿矫正治疗期间需要复诊,所以做牙齿矫正要多少钱也有很大的不同。
专家表示,通常影响矫正牙齿价格的因素有以下几方面:
1、矫正的费用“因地而异”。在不同地区会有城乡差异;在不同级别的医院会有收费标准的级别差异;在不同性质的医院中,各医院的收费标准会略有浮动等等。患者应在矫正牙齿治疗开始前向医生了解总体费用的大致情况,有备而治
2、牙齿矫正的价格的高低取决于患者想要达到的治疗目标。这一点限定了矫正牙齿治疗的难度和疗程。不难理解,成人矫正牙齿的价格与难度和疗程是呈正比的。
3、牙齿矫正的价格与患者所使用的矫正方法和需矫正的牙齿颗数有关。牙科医生会根据患者的牙齿畸形情况选择合理的矫正方法,不同的矫正方法价格不同,技术含量高的成人矫正牙齿方法的价格也高;然后医生再结合患者的经济情况为其选择合适价格的矫正方案。
中韩·唯美口腔专家指出,牙齿矫正手术的更佳年龄是在12-16岁,口腔学中称此间年龄为牙齿矫正的“黄金时期”。这个时候孩子的乳牙已经全部换完,而且又处于生长发育阶段,牙齿的可塑性比较大,因为儿童牙齿矫正会相对容易一些,做牙齿矫正费用也会相对低一些,而相对来说,成人的牙齿矫正的难度就要高一些,做牙齿矫正费用可能也要相对高一些。推荐阅读:韩式隐形正畸
牙齿矫正技术推荐——韩式隐形正畸
中韩·唯美口腔率先引进的韩式四维隐形正畸技术继承了传统的牙颌畸形矫治的理念,是现代口腔医学、计算机辅助四维诊断、个性化设计及数字化成型技术的完美结合,是正畸领域的新突破。韩式四维隐形正畸由知名专家坐诊,实现全程无痛无创快速疗法,专门治疗各种牙齿排列不整齐,咬合错位等牙齿形态问题,还你一口整齐、坚固耐用的健康原牙。点击在线咨询,了解牙齿矫正的优惠信息!在线预约可享更多优惠!
中韩·唯美口腔牙齿矫正专家推荐

李玉如,口腔正畸科。副教授,副主任医师,硕士生导师,口腔医学正畸专业硕士。1991年毕业于中山医科大学口腔系,一直从事口腔正畸的临床、教学和科研工作,临床经验丰富,并注重知识的学习更新,2004年硕士学位毕业。擅长正畸科各类牙颌畸形及疑难病例的矫治,对青少年反牙合、开牙合、功能性矫治、阻生牙的导萌牵引及成年人牙颌畸形、牙周病的正畸治疗有良好的疗效。
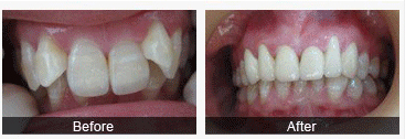
中韩·唯美口腔牙齿矫正前后对比图

如果您觉得我们的文章没有解释的很清楚,或者还有其他疑问,您可以直接点击我们的在线咨询医生,中韩·唯美口腔专业咨询医生会给您耐心的,详细的解答,并给您一个满意的答复!
上一篇:矫正牙齿至少要花费多少
下一篇:成人牙齿矫正要花多少钱
唯美口腔连锁·汇聚实力专家
唯美口腔连锁·品牌资讯