成年人矫正牙齿是否需要拔牙?牙齿拥挤不齐是很多成年人患有的问题,紧张的生活令很多成年人没有机会做矫正,而且有些成年人担心矫正牙齿需要拔牙,一时后怕。那么成年人矫正牙齿是否需要拔牙?
成年人矫正牙齿也不一定非要拔牙,这是要根据自身的情况也可以说是牙齿的密度来定的。
如果牙齿排列整齐,无拥挤现象,但是牙性上颌前突、双颌前突,要想矫治前突畸形,也需要进行拔牙矫正,即拔牙后的位置由内收前牙来占满;了解更多牙齿矫正,点击在线咨询,直接与专家相互交流,详细咨询!
如果牙齿排列不齐,存在严重拥挤或接近重度拥挤时(严重拥挤是指拥挤程度达10毫米以上),要想排齐牙齿、达到美观要求,同时又得保证矫治后效果的稳定,就应根据需要拔除牙齿。但是即使拔牙也无需担心,因为我们都会通过矫正将所有的缝隙很好的收起来。牙齿矫正完后是完全看不出来的。
中韩·唯美口腔牙齿矫正技术推荐
韩式四维隐形正畸技术是完全个性化的设计理念,可根据正畸者的情况佩带不同的矫治器,完全不影响正畸者的生活。具有隐形高效,稳定美观的特点,并且大大地缩短了疗程,使治疗时间缩短近三分之一,复诊时间缩短二分之一,为正畸者大大节省了时间,透明韩式四维隐形正畸矫正矫治器厚度不到1mm,透明、光滑、舒适,无异物感和粘膜刺激,是目前更受欢迎和信赖的美齿项目。推荐阅读:韩式隐形正畸
中韩·唯美口腔牙齿矫正专家推荐

李玉如,口腔正畸科。副教授,副主任医师,硕士生导师,口腔医学正畸专业硕士。1991年毕业于中山医科大学口腔系,一直从事口腔正畸的临床、教学和科研工作,临床经验丰富,并注重知识的学习更新,2004年硕士学位毕业。擅长正畸科各类牙颌畸形及疑难病例的矫治,对青少年反牙合、开牙合、功能性矫治、阻生牙的导萌牵引及成年人牙颌畸形、牙周病的正畸治疗有良好的疗效。点击在线咨询,了解牙齿矫正的优惠信息!在线预约可享更多优惠!
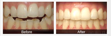
中韩·唯美口腔牙齿矫正前后对比图

温馨提示:关于成人矫正牙齿是否需要拔牙就为大家介绍到这里。不管是拔牙还是牙齿矫正对医生的要求也是非常严格的,都需要专业的医师来为我们治疗,所有在这里我建议大家去正规的口腔医院。中韩·唯美口腔是您牙齿保健和牙病治疗的理想医疗机构。
上一篇:成年人牙齿矫正的方法有哪些
下一篇:成年人牙齿矫正多少钱
唯美口腔连锁·汇聚实力专家
唯美口腔连锁·品牌资讯