牙齿矫正隐形牙套价格是多少?对于畸形牙齿的矫正,是一个比较长期的过程。在矫正的时候很多朋友会感到传统的矫正方法钢丝牙套太过难看。而隐形牙套的出现对于这些朋友来讲是一个很好的消息。那么牙齿矫正隐形牙套价格是多少呢?
牙齿矫正隐形牙套价格是多少?中韩·唯美口腔专家介绍:关于牙齿矫正隐形牙套价格是多少一般与很多因素有关,主要有以下几个方面:
一、隐形牙套是借助较新电脑科技制造出的透明矫正器为患者量身定做,运用3D影像科技来设计整个疗程计划。患者只要按照设计程序,在不同时期戴上不同的透明矫正器,便可使上颚或下颚的依照预定的设计移动,较终使变整齐。
二、牙齿矫正隐形牙套价格是多少?隐形矫治技术,不需要托槽和钢丝,采用的是一系列隐形矫治器,该隐形矫治器由安全的弹性透明高分子材料制成,使矫治过程几乎在旁人无察觉中结束,不影响日常生活和社交。
三、牙齿矫正隐形牙套价格也是没有固定数字的,因为有多因素都会影响它的价格。比如说医院因素,个人因素,地区因素等等,这都是会导致隐形牙套价格的差异性的。患者只要按照在不同时期戴上不同的透明矫正器,便可使上颚或下颚的牙齿依照预定的设计移动,较终使牙齿变整齐。隐形牙套技术对设备要求非常高,因此治疗费用比普通牙套要贵一些。推荐阅读:韩式隐形正畸
牙齿矫正技术推荐——韩式隐形正畸
中韩·唯美口腔率先引进的韩式四维隐形正畸技术继承了传统的牙颌畸形矫治的理念,是现代口腔医学、计算机辅助四维诊断、个性化设计及数字化成型技术的完美结合,是正畸领域的新突破。韩式四维隐形正畸由知名专家坐诊,实现全程无痛无创快速疗法,专门治疗各种牙齿排列不整齐,咬合错位等牙齿形态问题,还你一口整齐、坚固耐用的健康原牙。点击在线咨询,了解牙齿矫正的优惠信息!在线预约可享更多优惠!
中韩·唯美口腔牙齿矫正专家推荐

李玉如,口腔正畸科。副教授,副主任医师,硕士生导师,口腔医学正畸专业硕士。1991年毕业于中山医科大学口腔系,一直从事口腔正畸的临床、教学和科研工作,临床经验丰富,并注重知识的学习更新,2004年硕士学位毕业。擅长正畸科各类牙颌畸形及疑难病例的矫治,对青少年反牙合、开牙合、功能性矫治、阻生牙的导萌牵引及成年人牙颌畸形、牙周病的正畸治疗有良好的疗效。
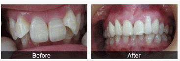
中韩·唯美口腔牙齿矫正前后对比图

在线咨询,一分钟预约挂号,医务人员将会与您一对一进行沟通。中韩·唯美口腔有中国更专业的网上挂号平台,为您提供更便捷的预约就诊服务,为您推荐全国资质更深、技术更好的治疗专家,让你从此刻开始摆脱疾病的困扰。
唯美口腔连锁·汇聚实力专家
唯美口腔连锁·品牌资讯