如今社会交往越来越频繁,良好的形象可以让你游刃有余于其间,可是很多畸形牙的患者对此很是烦恼,特别是成年人,带着矫正器很影响牙齿的美观,隐形矫正的推出吸引了很多爱美人士的关注,那么隐形牙齿矫正有哪些优点?
很多成年人做牙齿矫正往往会在意自己的形象,希望候能采用比较隐蔽的矫正器具。唯美口腔推出隐形矫正的方式,下面由专家介绍隐形牙齿矫正优点:
一、精确高效:通过电脑三维系统制作出的隐形牙套更精确、更高效;
二、舒适无痛:由于没有传统意义上的托槽、钢丝等繁琐矫正装置,佩戴时光滑、舒适,甚至感觉不到它的存在;
三、美观时尚:矫治器透明轻薄,隐形、美观、时尚,社交距离,其他人几乎察觉不到,非常适合成人正畸,这也是隐形牙齿矫正的优势的其中之一;了解更多牙齿矫正,点击在线咨询,直接与专家相互交流,详细咨询!
四、方便清洁:使用者可自行摘戴,在吃饭、刷牙或者是出席重要活动时,可摘下矫治器,方便清洁和维护口腔卫生,不必担心牙龈炎、牙齿脱矿、变色等问题。
中韩·唯美口腔牙齿矫正技术推荐
韩式四维隐形正畸技术是完全个性化的设计理念,可根据正畸者的情况佩带不同的矫治器,完全不影响正畸者的生活。具有隐形高效,稳定美观的特点,并且大大地缩短了疗程,使治疗时间缩短近三分之一,复诊时间缩短二分之一,为正畸者大大节省了时间,透明韩式四维隐形正畸矫正矫治器厚度不到1mm,透明、光滑、舒适,无异物感和粘膜刺激,是目前更受欢迎和信赖的美齿项目。推荐阅读:韩式隐形正畸
中韩·唯美口腔牙齿矫正专家推荐

李玉如,口腔正畸科。副教授,副主任医师,硕士生导师,口腔医学正畸专业硕士。1991年毕业于中山医科大学口腔系,一直从事口腔正畸的临床、教学和科研工作,临床经验丰富,并注重知识的学习更新,2004年硕士学位毕业。擅长正畸科各类牙颌畸形及疑难病例的矫治,对青少年反牙合、开牙合、功能性矫治、阻生牙的导萌牵引及成年人牙颌畸形、牙周病的正畸治疗有良好的疗效。点击在线咨询,了解牙齿矫正的优惠信息!在线预约可享更多优惠!
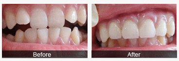
中韩·唯美口腔牙齿矫正前后对比图

温馨提示:牙齿矫正一定要到正规专业的口腔医院,这样避免对牙齿意外的伤害,更多疑问,随时点击在线咨询,与专家直接交谈,中韩·唯美口腔会给您一个专业的分析,详细的解答,并给您一个满意的答复!
上一篇:成人做牙齿矫正一般多少钱
下一篇:成人矫正需要注意哪些问题
唯美口腔连锁·汇聚实力专家
唯美口腔连锁·品牌资讯