牙齿美白美容的迅速发展,给很多患有牙齿问题的人们带去了希望,特别是很多成年人,因为工作和生活的需要,不得不注重自身的形象,很多成年人患有牙齿畸形,需要及时去矫正牙齿,那么牙齿矫正有没有年龄限制?
12-16岁换牙期是正畸的黄金时期,如果家长能够及时发现孩子牙齿问题,尽早就医,正畸效果更好,能取得事半功倍的效果,更不会给孩子心理造成影响.
成人患者牙齿整形中的牙齿矫正顾虑更多的不是漫长的矫正周期,而是担心戴牙箍的形象会影响到自己的生活和工作。很多人一想到矫正牙齿,就想到一口“钢牙”,不少人就是因为害怕带上矫正器后会影响社交、工作、正常生活,而放弃治疗。
成人牙齿矫正范围:
1、因牙周疾病引起牙齿漂移而产生间隙时,使漂移牙复位;
2、牙颌畸形引起其他病变者,如深覆牙合造成的牙周病以及咬合关系错乱引起的颞颌关节病.了解更多牙齿矫正,点击在线咨询,直接与专家一对一相互交流!
事实上,随着牙齿整形水平的发展,考虑到成人进行正畸治疗主要是解决功能和美观的问题,现在牙齿整形方法当中,已经有不少解决办法可以既矫正不齐的牙齿,又让牙齿美观的矫正器。所以不必为牙齿矫正影响自己的形象而担心.
中韩·唯美口腔牙齿矫正技术推荐
中韩·唯美口腔率先引进的韩式四维隐形正畸技术继承了传统的牙颌畸形矫治的理念,是现代口腔医学、计算机辅助四维诊断、个性化设计及数字化成型技术的完美结合,是正畸领域的新突破。韩式四维隐形正畸由知名专家坐诊,实现全程无痛无创快速疗法,专门治疗各种牙齿排列不整齐,咬合错位等牙齿形态问题,还你一口整齐、坚固耐用的健康原牙。推荐阅读:韩式隐形正畸
中韩·唯美口腔牙齿矫正专家推荐

李玉如,口腔正畸科。副教授,副主任医师,硕士生导师,口腔医学正畸专业硕士。1991年毕业于中山医科大学口腔系,一直从事口腔正畸的临床、教学和科研工作,临床经验丰富,并注重知识的学习更新,2004年硕士学位毕业。擅长正畸科各类牙颌畸形及疑难病例的矫治,对青少年反牙合、开牙合、功能性矫治、阻生牙的导萌牵引及成年人牙颌畸形、牙周病的正畸治疗有良好的疗效。点击在线咨询,了解牙齿矫正的优惠信息!在线预约可享更多优惠!
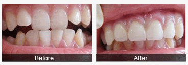
中韩·唯美口腔牙齿矫正前后对比图

温馨提示:通过对文章的阅读,相信大家对成人矫正有了新的认识,牙齿矫正一定要及时到正规专业口腔医院。如果您还有其它问题想咨询的话,可以点击我们中韩·唯美口腔医院的在线咨询,由在线专家为您详细解答。
上一篇:种植牙有哪些影响效果的因素
下一篇:成年人矫正牙齿的价格是多少
唯美口腔连锁·汇聚实力专家
唯美口腔连锁·品牌资讯