牙齿矫正用的托槽有哪些种类?随着人们对形象的高度重视,牙齿美观也成为人们考量形象的一个标准,越来越多的人选择牙齿矫正来改善牙齿问题。矫正方式的不同,矫正器也有很多种类可以选择,那么牙齿矫正用的托槽有哪些种类?
大街上、学校里,越来越多选择牙齿矫正的大人、小孩子们,牙齿矫正的其中一项工作就是托槽选择,目前主要有4种:
一、无托槽隐形矫正
此类托槽几乎完全隐形,会让患者在别人毫无察觉中完成牙齿矫正,解决了许多患者对矫正牙齿的美观顾虑。而且由于没有传统意义上的托槽、钢丝等矫正装置,不对牙周组织产生刺激,不适感降到更低。可自行摘戴,不影响社交、进食、运动等。在矫正过程中,每2周自己更换一副矫治器即可,无需频繁复诊。除此之外,它在保持口腔卫生时容易维护,托槽容易拆卸,所以很容易清洁,也不必担心牙龈炎、牙齿脱矿、变色等问题。
二、陶瓷托槽矫正
这种瓷托槽近乎透明,粘在牙齿上隐蔽性较好,使矫治过程悄然完成。而且由于 陶瓷托槽的成分为氧化铝陶瓷,具有极高的硬度,为不锈钢的九倍,因而不会变形,具有很好的尺寸稳定性。此外,陶瓷托槽基底与粘结剂之间为化学结合,受力均匀,不易脱落,还可明显减少复诊次数。更后,因为透明托槽具有良好的抗污染性和抗变色能力,只要患者注意口腔卫生,就可以使托槽一直保持透明状态。
三、自锁托槽矫正
由于自锁托槽的摩擦力极低,牙齿的移动更为容易,所以以往一些需要拔牙治疗的病人现在可以不拔牙治疗,能有效缩短治疗时间,部分患者可以缩短疗程6个月以上。除此之外,选用自锁托槽矫正牙齿还可延长复诊时间,延长到8-10周,减少复诊次数。而且,由于其舒适柔和的矫治力也使正畸患者的不适感减轻了很多。了解更多牙齿矫正,点击在线咨询,直接与专家相互交流咨询!
四、金属托槽矫正
金属托槽矫正大大减轻了牙齿移动时疼痛感。因为LH矫治丝在口腔内可以产生稳定的力量,牙齿移动符合生理移动,牙槽骨的重建更健康,牙根吸收更小。一些以往需要外科正畸手术的患者,也可以通过LH矫治技术来进行治疗。在情节方面, LH矫治丝免除了大量多曲的弯制,能给患者一个清洁的口腔环境。
中韩·唯美口腔牙齿矫正技术推荐
中韩·唯美口腔率先引进的韩式四维隐形正畸技术继承了传统的牙颌畸形矫治的理念,是现代口腔医学、计算机辅助四维诊断、个性化设计及数字化成型技术的完美结合,是正畸领域的新突破。韩式四维隐形正畸由知名专家坐诊,实现全程无痛无创快速疗法,专门治疗各种牙齿排列不整齐,咬合错位等牙齿形态问题,还你一口整齐、坚固耐用的健康原牙。推荐阅读:韩式隐形正畸
中韩·唯美口腔牙齿矫正专家推荐

李玉如,口腔正畸科。副教授,副主任医师,硕士生导师,口腔医学正畸专业硕士。1991年毕业于中山医科大学口腔系,一直从事口腔正畸的临床、教学和科研工作,临床经验丰富,并注重知识的学习更新,2004年硕士学位毕业。擅长正畸科各类牙颌畸形及疑难病例的矫治,对青少年反牙合、开牙合、功能性矫治、阻生牙的导萌牵引及成年人牙颌畸形、牙周病的正畸治疗有良好的疗效。点击在线咨询,了解牙齿矫正的优惠信息!在线预约可享更多优惠!
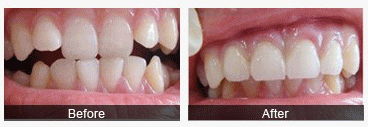
中韩·唯美口腔牙齿矫正前后对比图

温馨提示:由于每个人的自身情况不同,术后达到的效果也会不一样。只有充分地沟通好,更终才能达到满意的效果。中韩·唯美口腔医院拥有先进的网络远程会诊信息系统,为每一位患者争取更佳治疗时机、享受更知名医疗资源、申请更优惠的治疗价格。
上一篇:成人牙齿矫正费用是多少
下一篇:种植牙有哪些影响效果的因素
唯美口腔连锁·汇聚实力专家
唯美口腔连锁·品牌资讯