成人牙齿矫正更好的医院,成人由于错过了牙齿矫正的更佳年龄,而且在矫正牙齿的时候,对外貌上的要求更高。所以我们在选择好的口腔医院的同时,对于牙齿矫正的方法也应该慎重选择,下面跟随郑州知名口腔科专家来了解一下成人牙齿矫正更好的医院的矫正方法。
中韩·唯美口腔专家介绍:隐形正畸一改传统正畸过程中"钢丝铁牙"的局面,能在无钢丝、无托槽的状态下完成矫治,让别人看不到您带了牙套的同时,不影响美观,可自行摘带,在不知不觉中恢复正常颌面形态.该技术集美观、舒适、方便、清洁四大优势于一身,深受牙病患者所青睐!
隐形矫正的特点:
1)时省力、简单:隐形矫治技术,采用的是一系列隐形矫治器,该隐形矫治器由安全的弹性透明高分子材料制成,不需要托槽和钢丝,不影响日常生活和社交.同时,整个矫治过程省时又省力,没有了粘结托槽、调整弓丝的繁琐,临床操作大大简化.
2)美观:这种隐形矫治技术继承了传统的牙颌畸形矫治理念,是现代口腔医学、计算机辅助三维诊断、个性化设计及数字化成型技术的完美结合.隐形矫正又叫"隐形无托槽矫正",是牙齿矫正的一种.隐形无托槽矫正,与传统矫治过程中的钢丝和托槽相比,不影响美观等突出优点而广受美齿者青睐.推荐阅读:韩式隐形正畸
3)定位精确、清洁方便:隐形正畸是当前口腔正畸学领域中的一项高新科技技术.隐形矫正效果好,优点突出.隐形无托槽矫正技术,是根据每个人的实际情况,通过计算机辅助三维诊断、设计和制造系统,用一系列个性化的透明矫治器,来完成矫治的牙齿矫正技术,具有美观、定位精确、清洁方便等优点.隐形矫正适合你吗?点击在线咨询,直接与专家对话了解详情!
中韩·唯美口腔率先引进的韩式隐形正畸技术继承了传统的牙颌畸形矫治的理念,是现代口腔医学、计算机辅助四维诊断、个性化设计及数字化成型技术的完美结合,是正畸领域的新突破。韩式隐形正畸由中韩齿科专家联合坐诊,实现全程无痛无创快速疗法,专门治疗各种牙齿排列不整齐,咬合错位等牙齿形态问题,还你一口整齐、坚固耐用的健康原牙。该技术是完全个性化的设计理念,可根据正畸者的情况佩带不同的矫治器,完全不影响正畸者的生活。具有隐形高效,稳定美观的特点,并且大大地缩短了疗程,使治疗时间缩短近三分之一,复诊时间缩短二分之一,为正畸者大大节省了时间,透明隐形正畸矫正矫治器厚度不到1mm,透明、光滑、舒适,无异物感和粘膜刺激,是目前更受欢迎和信赖的美齿项目。点击在线咨询,了解牙齿矫正的优惠活动!在线预约可享更多优惠!
中韩·唯美口腔牙齿矫正专家推荐

李玉如,口腔正畸科。副教授,副主任医师,硕士生导师,口腔医学正畸专业硕士。1991年毕业于中山医科大学口腔系,一直从事口腔正畸的临床、教学和科研工作,临床经验丰富,并注重知识的学习更新,2004年硕士学位毕业。擅长正畸科各类牙颌畸形及疑难病例的矫治,对青少年反牙合、开牙合、功能性矫治、阻生牙的导萌牵引及成年人牙颌畸形、牙周病的正畸治疗有良好的疗效。
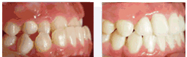
中韩·唯美口腔牙齿矫正前后对比图

如果您觉得我们的文章没有解释的很清楚,或者还有其他疑问,您可以直接点击中韩·唯美口腔的在线咨询医生,我院专业咨询医生会给您耐心的,详细的解答,并给您一个满意的答复!
上一篇:成人牙齿矫正方法选哪种
下一篇:郑州成人牙齿矫正多少钱
唯美口腔连锁·汇聚实力专家
唯美口腔连锁·品牌资讯