在郑州做牙齿矫正哪家医院好,在日常生活中,如果仔细观察,你会注意到大街上,不少人带着牙套,这就是我们所说的牙齿矫正。牙齿矫正也就是通过正畸或者外科手术等方法治疗错愕畸形的情况,及早治疗,可取得非常不错的效果。那么,在郑州做牙齿矫正哪家医院好呢?为此,通过以下我们来进行详细的了解。
据调查发现,错颌畸形是指儿童生长发育过程中,由先天因素或后天因素导致的牙齿、颌骨、颅面的畸形。错颌畸形患病率非常高,为何戴牙套的矫正者并不多见?主要原因在于人们对牙齿矫正普遍存在着认知不足。很多人以为牙齿不好是天生的,无法改变。牙齿错颌怎么办?所以尽管牙齿出现畸形,但并不知道可以通过牙齿矫正的方式改变,更不了解矫正的作用和过程。

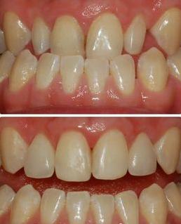
牙齿矫正日益受重视
不过,牙齿矫正毕竟已经是一项成熟的口腔技术,科技的力量让相信并应用它的人获得了回报。一位大学的19岁女孩,已经做了快一年的牙齿矫正,每一到两个月前来复诊一次,效果令她很满意。用她的话说,简直就像换了一个人,有点难以置信。据医生介绍,牙齿成功矫正后,不仅仅是牙齿的变化,脸型也会变得更加美观。
随着爱牙日、牙保健等公益活动宣传和各类媒体的报道传播,以及矫正成功案例所产生的周边口碑传播,越来越多的人开始接触牙齿矫正治疗。近年来,青少年矫正大幅增长。主要原因在于家长的观念发生了可喜的变化,父母更加重视孩子的牙齿健康,使得很多的青少年在家人的帮助下通过牙齿矫正改变了一生。据专家介绍,按照现在的医疗技术,成人矫正六十岁前都没什么问题。不过专家也同时强调,青少年牙齿矫正的黄金时间是在10—20岁左右,这个年龄段做牙齿矫正往往能起到事半功倍的效果。
为了确保牙齿矫正的效果,选择正规的口腔医院是关键。郑州唯美口腔引进上先进的牙齿矫正方法,在矫正前,经验丰富的正畸专家首先会对患者牙齿进行详细的检查,然后根据检查的结果进行分析,制定相应的矫正方法,从而取得理想的矫正效果。推荐阅读:郑州牙齿矫正医院哪家好
在郑州做牙齿矫正哪家医院好?通过以上的介绍,想必大家也有了一定的了解。郑州更好的口腔医院郑州唯美口腔专家团队一流、设备先进安全、服务热情周到,在牙齿矫正、牙齿修复和牙齿美白等多个方面达到国内领先水准为广大郑州市民解除了牙病困扰,是郑州市人民的放心医院。如还想了解更多相关信息,欢迎在线咨询专家,在线专家将给出更专业、更知名的解答。
上一篇:牙齿畸形会产生哪些危害?
下一篇:错颌畸形不矫正的危害
唯美口腔连锁·汇聚实力专家
唯美口腔连锁·品牌资讯