错颌畸形患者常常感到牙齿咬合吃力,正常的饮食习惯受到影响。饭后也不易清理。因此给口腔健康埋下很大的健康隐患。错颌畸形更直接的有效的矫正方法就是错颌正畸。那么,错颌畸形的矫正方式有哪些呢?
错颌畸形的矫正方法:
1、预防矫治 采用各种预防措施来防止各种错颌畸形的发生,是预防矫治的主要内容。儿童出生萌芽后要定期进行口腔检查,早期发现问题早期防止,如龋的早期治疗、口腔不良习惯的早期破除、乳牙早失的缺隙保持以及滞留牙、多生牙的及时拔除等,使通过这些预防可防止错颌畸形的发生。
2、阻断矫治 当错颌畸形发生的早期,通过简单的方法进行早期矫治,阻断错颌畸形向严重发展,将合颌面的发育导向正常,常称阻断矫治。如早期牙源性前牙反合使用简单合垫舌簧矫正器矫治,防止向严重的骨骼畸形发展。
3、一般矫治 一般矫治是口腔正畸矫治中更多见的,根据不同牙颌面畸形选用各类矫治器,如可摘矫治器、固定矫治器、功能矫治器等。
4、外科矫治 外科矫治是指对生长发育完成后的严重的股圆形错合畸形需采用外科手术的方法来矫正其错合,称为正合外科或外科正畸。推荐阅读:韩式隐形正畸
中韩·唯美口腔韩式隐形正畸技术推荐
唯美口腔率先引进的韩式隐形正畸技术继承了传统的牙颌畸形矫治的理念,是现代口腔医学、计算机辅助四维诊断、个性化设计及数字化成型技术的完美结合,是正畸领域的新突破。韩式隐形正畸由中韩齿科专家联合坐诊,实现全程无痛无创快速疗法,专门治疗各种牙齿排列不整齐,咬合错位等牙齿形态问题,还你一口整齐、坚固耐用的健康原牙。该技术是完全个性化的设计理念,可根据正畸者的情况佩带不同的矫治器,完全不影响正畸者的生活。具有隐形高效,稳定美观的特点,并且大大地缩短了疗程,使治疗时间缩短近三分之一,复诊时间缩短二分之一,为正畸者大大节省了时间,透明隐形正畸矫正矫治器厚度不到1mm,透明、光滑、舒适,无异物感和粘膜刺激,是目前更受欢迎和信赖的美齿项目。点击在线咨询,了解牙齿矫正的各项优惠活动,在线预约可享更多优惠!
中韩·唯美口腔牙齿矫正专家推荐

李玉如,口腔正畸科。副教授,副主任医师,硕士生导师,口腔医学正畸专业硕士。1991年毕业于中山医科大学口腔系,一直从事口腔正畸的临床、教学和科研工作,临床经验丰富,并注重知识的学习更新,2004年硕士学位毕业。擅长正畸科各类牙颌畸形及疑难病例的矫治,对青少年反牙合、开牙合、功能性矫治、阻生牙的导萌牵引及成年人牙颌畸形、牙周病的正畸治疗有良好的疗效。
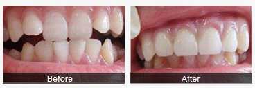
中韩·唯美口腔牙齿矫正前后对比图

温馨提示:如果您觉得我们的文章并没有解释得很清楚,或有其他问题,您可以点击我们的在线咨询专家。中韩·唯美口腔会给您一个专业的分析,详细的解答,并给您一个满意的答复!
上一篇:错颌畸形矫正需要多少钱
下一篇:错颌畸形的危害有哪些
唯美口腔连锁·汇聚实力专家
唯美口腔连锁·品牌资讯