错颌畸形矫治有哪些特点?爱美之心,人皆有之,许多家长对牙齿错颌畸形的现象十分重视,这是一种对人体生理和心理都有潜在危害影响的口腔症状,需要及时进行修复治疗,那么错颌畸形矫治有哪些特点?
错颌畸形的矫治不同于一般疾病的治疗需要打针吃药,它主要依靠在口腔内部或外部戴用矫治器,对牙齿、牙槽骨及颌骨施加适当的生物力,使其产生生理性移动,从而矫治错颌畸形。
矫治时牙齿、颌骨的移动是渐进的,在矫治过程中,由医生对矫治器进行适当的加力,达到逐渐移动牙齿的目的,因此疗程较长,一般为2年左右,复杂的畸形可能更长。了解更多错颌畸形矫正,点击在线咨询,直接与专家相互交流,详细咨询!
矫治过程中患者一般需每隔3—4周到医院复诊一次,复诊时主要根据错颌的矫治情况,对矫治器进行适当的调整,频繁复诊加力,以求快速整牙反而会导致牙周损伤,欲速则不达。另外,在矫正过程中需要医生和患者双方的合作,矫治的作用力由矫治器提供,患者认真戴用才能使其发挥作用,尤其是戴活动矫治器的患者,医患的配合直接决定了疗程的长短和治疗的更终效果。
中韩·唯美口腔牙齿矫正技术推荐
韩式四维隐形正畸技术是完全个性化的设计理念,可根据正畸者的情况佩带不同的矫治器,完全不影响正畸者的生活。具有隐形高效,稳定美观的特点,并且大大地缩短了疗程,使治疗时间缩短近三分之一,复诊时间缩短二分之一,为正畸者大大节省了时间,透明韩式四维隐形正畸矫正矫治器厚度不到1mm,透明、光滑、舒适,无异物感和粘膜刺激,是目前更受欢迎和信赖的美齿项目。推荐阅读:韩式隐形正畸
中韩·唯美口腔牙齿矫正专家推荐

李玉如,口腔正畸科。副教授,副主任医师,硕士生导师,口腔医学正畸专业硕士。1991年毕业于中山医科大学口腔系,一直从事口腔正畸的临床、教学和科研工作,临床经验丰富,并注重知识的学习更新,2004年硕士学位毕业。擅长正畸科各类牙颌畸形及疑难病例的矫治,对青少年反牙合、开牙合、功能性矫治、阻生牙的导萌牵引及成年人牙颌畸形、牙周病的正畸治疗有良好的疗效。点击在线咨询,了解牙齿矫正的优惠信息!在线预约可享更多优惠!
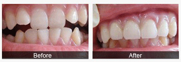
中韩·唯美口腔牙齿矫正前后对比图

温馨提示:以上便是专家对错颌畸形矫治的相关介绍,要做牙齿矫正,为保障手术安全,因此一定要来我们正规的医疗单位接受专业的治疗。如果你还有什么想了解的或者有什么疑问的话,你可以联系我院专家,中韩·唯美口腔专家将竭诚为您服务。
上一篇:做牙齿矫正需要多少钱呢
下一篇:错颌畸形可不可以不矫正
唯美口腔连锁·汇聚实力专家
唯美口腔连锁·品牌资讯