前牙反合发生的原因是什么?牙齿畸形有很多种,对牙齿口腔的伤害也不一样,前牙反合是牙齿畸形的一种,不仅仅给我们的口腔功能造成伤害,甚至还会导致口腔面部外型的改变,危害极大。那么前牙反合发生的原因是什么?
前牙反合的危害不小,因此要及时进行牙齿矫正,具体产生原因是什么,下面请唯美口腔专家给大家介绍:
1、不良口腔习惯
(1)不良的哺乳姿势,如不适当的吊奶瓶喂奶,下颌需向前用力吸吮,可引起前牙反。
(2)咬上唇或下颌前伸不良习惯,可导致前牙反及下颌前突。
2、替牙期的局部障碍
(1)乳牙滞留或早失,可造成个别前牙反或多数前牙反。
(2)上乳磨牙早失,上恒前牙后移,可形成前牙反。
(3)乳尖牙磨耗不足,高出牙弓平面,为避免上、下颌乳尖牙可能产生的早接触,下颌将向前方或侧方移动,形成伴有前牙反或前牙交叉反的假性下颌前突。
(4)上恒切牙先天缺失,如常见上颌侧切牙先天缺失,可引起上颌前部发育不足,形成前牙反。
3、疾病
(1)由于腭扁桃体或舌扁桃体的慢性炎症而刺激下颌前伸,久而久之,可导致前牙反并下颌前突。
(2)唇腭裂术后患者常常出现上颌发育不足,易造成前牙反及近中错,下颌相对表现前突。
(3)佝偻病患者,其钙、磷代谢障碍及面颌肌肉异常动力,常可导致较严重的下颌前突或前牙开畸形。
(4)内分泌疾患,如脑下垂体前叶机能亢进,可引起下颌前突畸形。了解更多牙齿矫正,点击在线咨询,直接与专家相互交流!
4、遗传因素
遗传性前牙反合并下颌前穿突,具有明显的家族背景,且下颌骨及颜面畸形异常显著。
中韩·唯美口腔牙齿矫正技术推荐
韩式四维隐形正畸技术是完全个性化的设计理念,可根据正畸者的情况佩带不同的矫治器,完全不影响正畸者的生活。具有隐形高效,稳定美观的特点,并且大大地缩短了疗程,使治疗时间缩短近三分之一,复诊时间缩短二分之一,为正畸者大大节省了时间,透明韩式四维隐形正畸矫正矫治器厚度不到1mm,透明、光滑、舒适,无异物感和粘膜刺激,是目前更受欢迎和信赖的美齿项目。推荐阅读:韩式隐形正畸
中韩·唯美口腔牙齿矫正专家推荐

李玉如,口腔正畸科。副教授,副主任医师,硕士生导师,口腔医学正畸专业硕士。1991年毕业于中山医科大学口腔系,一直从事口腔正畸的临床、教学和科研工作,临床经验丰富,并注重知识的学习更新,2004年硕士学位毕业。擅长正畸科各类牙颌畸形及疑难病例的矫治,对青少年反牙合、开牙合、功能性矫治、阻生牙的导萌牵引及成年人牙颌畸形、牙周病的正畸治疗有良好的疗效。点击在线咨询,了解牙齿矫正的优惠信息!在线预约可享更多优惠!
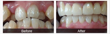
中韩·唯美口腔牙齿矫正前后对比图

温馨提示:以上就是前牙反合的原因,如果发生这种牙齿畸形,要及时的到专业的口腔医院进行矫治。更多疑问,随时点击在线咨询,直接与专家交流,中韩·唯美口腔是一家正规、高档的口腔医院具有先进一流的诊疗设备,专业知名的知名医生,实施无痛治疗,满足患者要求,以服务顾客为。中韩·唯美口腔真诚欢迎您的咨询和就诊。
上一篇:牙齿矫正治疗的范围有哪些
下一篇:牙齿矫正手术需要花多少钱
唯美口腔连锁·汇聚实力专家
唯美口腔连锁·品牌资讯