选择牙齿矫正有哪些目的?健康的牙齿必须是整齐美观的,牙齿拥挤不齐很容易导致饮食消化和口腔卫生的问题,间接影响到人们的身体健康,很多人选择牙齿矫正来改善牙齿问题吗,那么选择牙齿矫正有哪些目的?
牙齿矫正是通过对牙齿外形和排列的矫正来达成目的,一般选择牙齿矫正的目的和原因有以下几个方面:
1、复咀嚼功能进而帮助消化及营养吸收;
2、使口腔卫生的维护变的更加容易,达到预防牙周病的效果;
3、恢复颜面的美观,让自己更加自信;
4、纠正因发育异常而造成的发音不清等,提高学习、工作效率;了解更多牙齿矫正,点击在线咨询,直接与专家相互交流,在线预约享受更多优惠!
5、解决因齿列问题造成嘴唇的不能闭合而产生的口腔粘膜干燥问题及增强口腔对外来感染的抵抗力。
中韩·唯美口腔牙齿矫正技术推荐
韩式四维隐形正畸技术是完全个性化的设计理念,可根据正畸者的情况佩带不同的矫治器,完全不影响正畸者的生活。具有隐形高效,稳定美观的特点,并且大大地缩短了疗程,使治疗时间缩短近三分之一,复诊时间缩短二分之一,为正畸者大大节省了时间,透明韩式四维隐形正畸矫正矫治器厚度不到1mm,透明、光滑、舒适,无异物感和粘膜刺激,是目前更受欢迎和信赖的美齿项目。推荐阅读:韩式隐形正畸
中韩·唯美口腔牙齿矫正专家推荐

李玉如,口腔正畸科。副教授,副主任医师,硕士生导师,口腔医学正畸专业硕士。1991年毕业于中山医科大学口腔系,一直从事口腔正畸的临床、教学和科研工作,临床经验丰富,并注重知识的学习更新,2004年硕士学位毕业。擅长正畸科各类牙颌畸形及疑难病例的矫治,对青少年反牙合、开牙合、功能性矫治、阻生牙的导萌牵引及成年人牙颌畸形、牙周病的正畸治疗有良好的疗效。点击在线咨询,了解牙齿矫正的优惠信息!在线预约可享更多优惠!
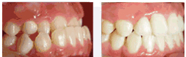
中韩·唯美口腔牙齿矫正前后对比图

温馨提示:以上内容是关于牙齿矫正选择目的的介绍,牙齿矫正一定要到正规医疗机构找临床经验丰富的医生,如果您还有其他关于牙齿矫正方面的问题想要咨询,欢迎您点击中韩·唯美口腔在线咨询或拨打专家热线电话,唯美口腔专家将详细为您解答。
上一篇:牙齿矫正有哪些常用的方法
下一篇:牙齿矫正治疗的范围有哪些
唯美口腔连锁·汇聚实力专家
唯美口腔连锁·品牌资讯