牙齿矫正有哪些危害?牙齿矫正是牙齿修复手段的重要一部分,对牙齿拥挤不齐、牙齿畸形等有很好的疗效,如今很多患者选择牙齿矫正来改善牙齿问题,可是牙齿矫正过程也会出现一些意外,那么牙齿矫正有哪些危害?
患者一定要去正规医院进行牙齿矫正,如果不正规医院医生的操作不规范,或者患者没有做好牙齿矫正后的护理,就会产生牙齿矫正的危害:
危害一:牙齿变松动 在做矫正治疗时,牙齿松动度增加,这是正常反应。牙齿要移动,需要牙槽骨和牙周膜的重建,因为牙齿是靠牙周膜固定在牙槽骨里,这样牙齿就会变松动。
危害二:对牙根的影响,这是比较常见的牙齿矫正的危害,这是因为在进行牙齿矫正时,牙根表面也发生着吸收、增生这种重建活动。
危害三:对牙槽骨高度的影响,它是一种潜在的牙齿矫正的危害。做过正畸治疗的人,牙槽骨高度都会有少量的降低,这是由于戴矫治器使口腔卫生不易保持,增加患牙龈炎的机会。了解更多牙齿矫正,点击在线咨询,直接与专家一对一相互交流!
危害四:对牙髓的影响,在牙齿矫正治疗初期,牙髓内产生轻度的、暂时性的炎症反应,表现为患者在加力的头几天内有疼痛或不适感。
中韩·唯美口腔牙齿矫正技术推荐
中韩·唯美口腔率先引进的韩式四维隐形正畸技术继承了传统的牙颌畸形矫治的理念,是现代口腔医学、计算机辅助四维诊断、个性化设计及数字化成型技术的完美结合,是正畸领域的新突破。韩式四维隐形正畸由知名专家坐诊,实现全程无痛无创快速疗法,专门治疗各种牙齿排列不整齐,咬合错位等牙齿形态问题,还你一口整齐、坚固耐用的健康原牙。推荐阅读:韩式隐形正畸
中韩·唯美口腔牙齿矫正专家推荐

李玉如,口腔正畸科。副教授,副主任医师,硕士生导师,口腔医学正畸专业硕士。1991年毕业于中山医科大学口腔系,一直从事口腔正畸的临床、教学和科研工作,临床经验丰富,并注重知识的学习更新,2004年硕士学位毕业。擅长正畸科各类牙颌畸形及疑难病例的矫治,对青少年反牙合、开牙合、功能性矫治、阻生牙的导萌牵引及成年人牙颌畸形、牙周病的正畸治疗有良好的疗效。点击在线咨询,了解牙齿矫正的优惠信息!在线预约可享更多优惠!
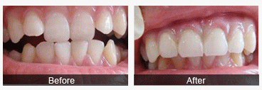
中韩·唯美口腔牙齿矫正前后对比图

温馨提示:通过以上对牙齿矫正的危害的介绍,希望大家有所警惕,一定要选择正规的医院进行牙齿矫正的治疗,这样才能保证效果。如果您还有其它问题想咨询的话,可以点击我们中韩·唯美口腔医院的在线咨询,由在线专家为您详细解答。
上一篇:错颌畸形矫正多少钱
下一篇:牙齿稀疏矫正的好处有哪些
唯美口腔连锁·汇聚实力专家
唯美口腔连锁·品牌资讯