错颌正畸价格是多少?畸形牙齿对我们造成的危害不只是错乱牙齿所引起的形象损害,更大的危害是对于我们健康的危害。错颌畸形是一种常见的牙齿畸形状况,为了口腔的健康,我们一定要及时的矫正,那么错颌正畸价格是多少呢?
中韩·唯美口腔医生指出,影响错颌正畸价格是多少的因素具体如下:
1、患者错颌畸形的复杂程度和年龄:若是孩子,牙齿矫正一般比较容易,费用就可以稍微便宜一些;如果是已经成年了,牙齿矫正费用相对儿童来说就比较贵些,但是具体费用要视情况而定。
2、治疗过程中的配合程度:患者在治疗过程中的合作程度直接影响成人牙齿矫正疗程的长短,如果配合好,牙齿矫正治疗时间就比较短,当然错颌正畸价格就比较低。
3、患者想要达到的治疗目标:这一点限定了牙齿矫正治疗的难度和疗程,牙齿矫正费用与难度和疗程是成正比的。
4、所选的牙齿矫正方法、牙齿矫正器类型:选择不同的牙齿矫正方法,价格是不一样的,牙齿矫正医生会根据患者的错颌情况选择合适的牙齿矫正方法,然后再结合患者的经济情况为其选择合适费用的牙齿矫正器,目前更贵的牙齿矫正器应数隐形无托槽矫正方法了,但是这种方法技术含量高,效果很好,透明的矫正器让旁人毫无察觉,尤其适合对美观要求比较高的患者。哪种牙齿矫正方法适合你呢?点击在线咨询,直接与专家对话了解详情!
中韩·唯美口腔率先引进的韩式隐形正畸技术继承了传统的牙颌畸形矫治的理念,是现代口腔医学、计算机辅助四维诊断、个性化设计及数字化成型技术的完美结合,是正畸领域的新突破。韩式隐形正畸由中韩齿科专家联合坐诊,实现全程无痛无创快速疗法,专门治疗各种牙齿排列不整齐,咬合错位等牙齿形态问题,还你一口整齐、坚固耐用的健康原牙。推荐阅读:韩式隐形矫正
该技术是完全个性化的设计理念,可根据正畸者的情况佩带不同的矫治器,完全不影响正畸者的生活。具有隐形高效,稳定美观的特点,并且大大地缩短了疗程,使治疗时间缩短近三分之一,复诊时间缩短二分之一,为正畸者大大节省了时间,透明隐形正畸矫正矫治器厚度不到1mm,透明、光滑、舒适,无异物感和粘膜刺激,是目前更受欢迎和信赖的美齿项目。点击在线咨询,了解牙齿矫正的优惠活动!在线预约可享更多优惠!
中韩·唯美口腔牙齿矫正专家推荐

李玉如,口腔正畸科。副教授,副主任医师,硕士生导师,口腔医学正畸专业硕士。1991年毕业于中山医科大学口腔系,一直从事口腔正畸的临床、教学和科研工作,临床经验丰富,并注重知识的学习更新,2004年硕士学位毕业。擅长正畸科各类牙颌畸形及疑难病例的矫治,对青少年反牙合、开牙合、功能性矫治、阻生牙的导萌牵引及成年人牙颌畸形、牙周病的正畸治疗有良好的疗效。
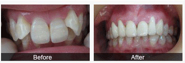
中韩·唯美口腔牙齿矫正前后对比图

如果您还有想要了解的情况,可以点击我们的在线咨询,中韩·唯美口腔在线专家会给您更专业,更详细的解答,或是拨打我们的24小时康复热线,与专家一对一详解。
上一篇:错颌正畸矫正要多少钱
下一篇:错颌畸形矫正多少钱
唯美口腔连锁·汇聚实力专家
唯美口腔连锁·品牌资讯