种植牙术后要注意什么?如今种植牙已经深受牙齿缺失患者的亲睐,得到广泛的运用,为很多缺牙患者解除了烦恼,由于术后对术后效果的过度看重,不加保护,很多人的手术效果并不理想,那么种植牙术后要注意什么?
种植牙手术并不大,可也需要基本的手术过程,注意事项自然也不可少,常见的注意措施如下:
1、种植牙术后24小时内,不要刷牙,也不要用清水漱口,但是可以用漱口液漱口,防止食物残渣残留在口腔内,可适量进食饮水,不要吃过热的食物。
2、有些患者做了种植牙后会出现局部水肿的现象,对于这个问题,患者不必过于担心,一般3-5天左右,症状就会得到缓解。
3、种植牙后一定要技术拆线,避免局部感染,一般来说种植牙后7-10天九可以拆线了,这一点患者一定要注意。了解更多种植牙,点击在线咨询,直接与专家相互交流,详细咨询!
4、做了种植牙的朋友一定要多加注意休息,避免过度运动,不要做剧烈运动,有不良生活习惯的患者,一定要改掉,不要吸烟饮酒。
中韩·唯美口腔牙齿种植技术推荐
中韩·唯美口腔的管理严格遵循化医院管理服务标准,引进先进消毒管理体系,完全杜绝交叉感染,保证治疗质量。其手术室是中原标准口腔手术室营运基地,全程无菌可视化操作。采用数码诊疗操作流程及管理系统,与更先进的口腔医疗体系紧密接轨使口腔诊疗技术创伤更小、痛苦更小、时间更短、效果更好。推荐阅读:亲骨超导种植技术
中韩·唯美口腔牙齿种植专家推荐

徐雅轩,国内著名CAM/CAD修复专家,精湛技术:牙齿矫正、1小时德国西诺德CAD/CAM3D齿雕全瓷修复、牙齿美容修复。毕业于南京医科大学口腔专业,长期从事口腔种植临床工作,在部队三甲医院工作多年,拥有多年深厚的口腔种植与研究经验。曾应邀参加瑞士ITI种植培训、德国西诺德3D齿雕培训,并出任多国种植集团特邀医师。其娴熟的种植技术和丰富的临床经验有机结合,注重从顾客的角度为出发点制定治疗方案,行医严谨,待人真诚,让广大缺牙顾客重新拥有完美的牙齿,深得顾客好评。点击在线咨询,了解牙齿种植的优惠信息!在线预约可享更多优惠!
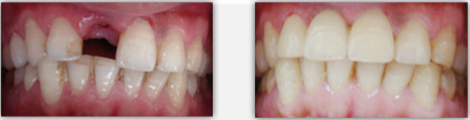
中韩·唯美口腔种植牙前后对比图

温馨提示:种植牙手术后也需要注意保护措施,因此要格外细心,更多疑问,随时咨询在线咨询医师,中韩·唯美口腔一直以“品质生活、从齿开始”为宗旨,为郑州民众的口内、口外、修复、美容、牙种植等牙健康需求提供专业技术和国内外牙医专属服务尊享体验。
上一篇:做完种植牙后需要护理的重点有哪些
下一篇:种植牙一颗需要多少钱
唯美口腔连锁·汇聚实力专家
唯美口腔连锁·品牌资讯